

Un avance científico promete transformar cómo se evalúa el impacto a largo plazo del estrés en la salud, y podría abrir la puerta a un diagnóstico más preciso y a intervenciones preventivas.
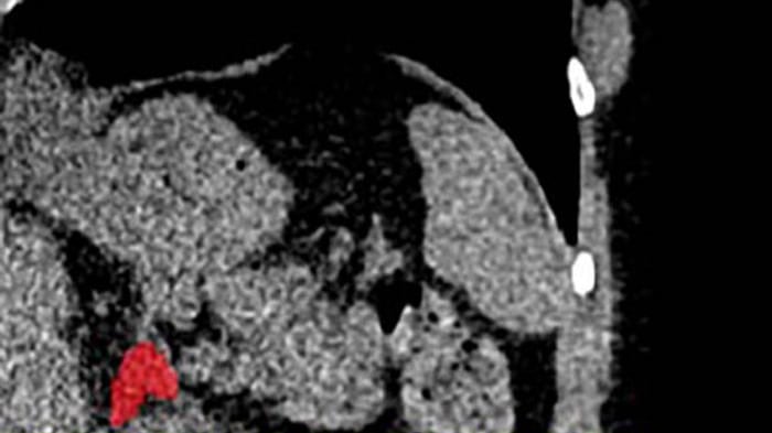
Y es que un equipo de investigadores liderado por la doctora Elena Ghotbi, del Johns Hopkins University School of Medicine, en Estados Unidos, entrenó un modelo de aprendizaje profundo para medir el volumen de las glándulas suprarrenales a partir de tomografías de tórax ya realizadas.
Dado que cada año se realizan decenas de millones de estas tomografías, la técnica tiene el potencial de aplicarse de forma masiva sin necesidad de nuevas pruebas. Gracias a este enfoque, se puede aprovechar información existente para evaluar la ‘carga biológica’ del estrés de forma objetiva.

QUÉ MIDE Y POR QUÉ IMPORTA
El indicador, llamado Índice de Volumen Suprarrenal (AVI, por sus siglas en inglés), se define como el volumen de las glándulas suprarrenales dividido por la estatura al cuadrado.
Los investigadores compararon AVI con múltiples parámetros: cuestionarios sobre estrés percibido, mediciones de cortisol salival, marcadores de carga alostática (como presión arterial, glucosa, recuento de glóbulos blancos, entre otros) y otros factores biológicos.
Hallaron que un AVI mayor se correlaciona con niveles más altos de cortisol, mayor carga alostática, estrés percibido elevado, y con un aumento en el riesgo futuro de insuficiencia cardiaca y mortalidad. Esto sugiere que AVI no solo refleja estrés crónico, sino que también puede predecir consecuencias graves para la salud.
IMPLICACIONES PARA LA SALUD
Este hallazgo representa una verdadera innovación clínica: por primera vez es posible “ver” el estrés crónico acumulado en el cuerpo mediante una imagen médica habitual, en lugar de depender únicamente de cuestionarios o mediciones puntuales de cortisol.
Con ello, los médicos podrían evaluar el impacto del estrés a largo plazo en pacientes y usar esa información para identificar riesgos cardiovasculares, planear intervenciones preventivas o monitorear tratamientos.
Además, al ser un método basado en datos ya disponibles —tomografías existentes— no requeriría pruebas adicionales ni mayor exposición a radiación, lo que facilitaría su implementación.
“Por primera vez, podemos ‘ver’ la carga a largo plazo del estrés dentro del cuerpo”, señaló Elena Ghotbi, autora principal del estudio y doctora en medicina y becaria de investigación posdoctoral en la Facultad de Medicina de la Universidad Johns Hopkins.
Source link
